فیبرودیسپلازی استخوانی، نوعی سرطان یا تومور استخوان نیست. بلکه یک مشکل مزمن و نادر است که در اثر آن به جای بافت طبیعی استخوان، یک بافت اسکارمانند و فیبری شروع به رشد میکند. رشد فیبری بر استحکام و شکل استخوانها تأثیر میگذارد و منجر به بروز مشکلاتی مانند بدشکلی و شکنندگی استخوان، استخواندرد و رشد غیرطبیعی استخوانها میشود.
پزشکان از این نحوه رشد استخوان با عنوان رشد دیسپلاستیک یاد میکنند و معتقدند که از یک استخوان به استخوان دیگر سرایت نمیکند. با این وجود، تشخیص و درمان به موقع این اختلال برای بهبود کیفیت زندگی بیمار لازم است.
فیبرودیسپلازی استخوانی چیست؟
فیبرو دیسپلازی استخوانی نوعی دیسپلازی استخوانی است که استخوانها را ضعیف و مستعد شکستگی میکند. اگرچه میتواند هر استخوانی در بدن را تحت تاثیر قرار دهد، اما اغلب در استخوانهای صورت، لگن، دندهها، ساق پا، جمجمه، ران و بازو و مهرههای ستون فقرات دیده میشود.
فیبرودیسپلازی معمولاً در دوران کودکی خود را نشان میدهد و از بافتهای گردن و شانهها شروع میشوند. اما ممکن است تا سنین بزرگسالی تشخیص داده نشود.
برای درمان معمولاً پزشک ابتدا به سراغ جراحی میرود و سپس برای مدریت درد از دارودرمانی و فیزیوتراپی استفاده میکند.
انواع فیبرودیسپلازی استخوانی
پزشکان این اختلال را بر اساس تعداد استخوانهای درگیر شده، به 2 نوع زیر دستهبندی میکنند:
- فیبرو دیسپلازی مونو استاتیک که تنها یک استخوان را تحت تاثیر قرار میدهد.
- فیبرو دیسپلازی پلی استاتیک که بر چندین استخوان تاثیر میگذارد.
جالب است بدانید که یک وضعیت پزشکی ناتوانکننده با عنوان فیبرودیسپلازی استخوانیشونده پیشرونده نیز وجود دارد. در اثر آن بافتهای نرم بدن شامل ماهیچهها، مفاصل و رباطها، به تدریج تبدیل به استخوان میشوند. بههمیندلیل، از آن با عنوان سندرم مرد سنگی نیز یاد میشود. پیشرفت این اختلال نه تنها وضعیت حرکت بیمار را محدود میکند؛ بلکه با خطر کاهش قدرت بینایی، تکلم و شنوایی نیز همراه است.
علائم فیبرودیسپلازی استخوانی چیست؟
اغلب بیماران نشانههای زیر را دارند:
- خستگی (به ویژه در کودکان خردسال)
- درد و ضعف در اطراف استخوانهای آسیبدیده (این علامت زمانی اتفاق میافتد که بافت فیبری در استخوان منبسط شود و بیمار را مجبور میکند که چهار دست و پا راه برود)
- شکستگی استخوان
- بدشکل شدن استخوان
- اسکولیوز (انحراف استخوان ستون فقرات به طرفین)
- بروز لکههای تغییر رنگ داده یا تیره روی پوست
- اختلالات غدد درونریز مانند پرکاری تیروئید یا بلوغ زودرس
نوع علائم میتوانند بسته به تعداد استخوانهای درگیرشده و محل آنها کمی متغیر باشند. به عنوان مثال، اگر استخوانهای فک و صورت شما آسیب ببینند، ممکن است علائم زیر را تجربه کنید:
- گرفتگی بینی
- ناترازی و ناهماهنگی فک بالا و پایین که در اثر فیبروز دیسپلازی فک دیده میشود.
- بیرونزدگی غیرطبیعی چشمها یا پروپتوز
به چه دلیلی افراد دچار فیبرودیسپلازی استخوانی میشوند؟
اگرچه پزشکان معتقدند که جهش ژنتیکی در کروموزوم 20، عامل بروز این اختلال است؛ اما هنوز نمیدانند که به چه دلایلی این جهش رخ میدهد. کروموزوم 20 حاوی ژن مسئول تشکیل و رشد استخوانها است.
چه زمانی باید به پزشک مراجعه کنیم؟
ازآنجاییکه علائم فیبرودیسپلازی استخوانی شباهت زیادی به علائم سایر مشکلات پزشکی دارند؛ توصیه میکنیم به محض مواجهه با آنها، برای تشخیص دقیق با پزشک مشورت کنید.
خوشبختانه دکتر صادق صابری بهعنوان پزشک فوق تخصص ارتوپد و یکی از بهترین جراح تومور استخوانی در تهران، تبحر زیادی برای تشخیص و درمان این اختلال دارند. اگر درگیر سندرم مرد سنگی و فیبروز دیسپلازی فک شدهاید؛ از تجربه بالای ایشان استفاده کنید.
جهت دریافت نوبت از دکتر صادق صابری، با شمارههای زیر تماس بگیرید:
مجتمع پزشکی صدر: ۰۲۱۷۹۱۸۴۰۰۰
مرکز تخصصی تهران ارتوپدی: ۰۲۱۹۱۳۰۴۵۰۴
تشخیص دیسپلازی فیبرو استخوان
معمولاً علاوهبر بررسی تاریخچه پزشکی و معاینه فیزیکی بیمار، پزشک برای تشخیص نهایی به سراغ ارزیابی نتایج آزمایشهای زیر نیز میرود:
- تستهای تصویربرداری پزشکی: رادیولوژی استخوان محل هرگونه بافت فیبری در استخوانها را نشان میدهد. همچنین نشان خواهد داد که آیا استخوانی شکسته است یا خیر. با این وجود، ممکن است پزشک به تصاویر ام آر آی یا سی تی اسکن نیز برای بررسی دقیقتر نیاز داشته باشد.
- آزمایش خون و آزمایش ادرار: میتوانند افزایش سطح برخی از آنزیمها را در خون یا ادرار نشان دهند. زیرا این مساله ممکن است به این معنی باشد که بافت فیبری در حال رشد است.
- بیوپسی یا نمونهبرداری از استخوان: ممکن است پزشک از بیوپسی برای برداشتن نمونهای از بافت فیبری یا بافت استخوانی سالم استفاده کند. در نهایت این نمونه به آزمایشگاه آسیبشناسی ارسال میشود تا زیر میکروسکوپ بررسی شود.
روشهای درمان فیبرودیسپلازی استخوانی
اصولاً بسته به علائم، سن و وضعیت بالینی بیمار، پزشک بهترین روش درمانی را تعیین میکند. اگر وضعیت بیمار نگرانکننده نباشد، پزشک هیچ درمانی انجام نمیدهد. فقط توصیه میکند که هر چند وقت یکبار بیمار آزمایش و ویزیت شود تا هرگونه تغییر در استخوانها به سرعت تشخیص داده شود.
در مقابل، برای بیماران با علائم متوسط تا شدید، پزشک به سراغ یک یا چند مورد از روشهای درمانی زیر میرود.
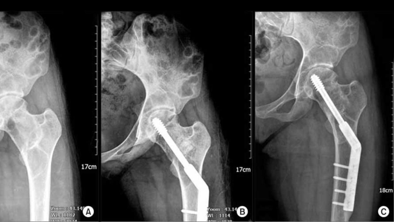
عمل جراحی
اگر بافت فیبری استخوان باعث ایجاد عوارض شده باشد یا به درمانهای دیگر پاسخ ندهد، ممکن است نیاز به جراحی باشد. جراح برای برداشتن استخوان آسیبدیده و پیوند استخوان اقدام میکند.
همچنین در صورت شکستگی استخوانها نیز گاهی لازم است عمل جراحی انجام شود.
دارودرمانی
پزشک برای پیشگیری از شکستگی استخوانها در اثر این اختلال، میتواند داروهایی بهمنظور تقویت استخوانها تجویز کند. همچنین با تجویز داروهای مسکن و ضدالتهاب میتواند به تسکین درد بیمار کمک کند.
تجویز بریس همراه با فیزیوتراپی
بریس میتواند از استخوانها حمایت کند و به رشد صحیح آنها کمک کند. فیزیوتراپیست علاوهبر کمک به استفاده صحیح از بریس، با آموزش تمرینات بدنی خاص میتواند به کاهش درد و عوارض بیمار کمک کند.

0 Comments