گاهی اوقات، یک شکستگی ساده یا فرسودگی تدریجی مفصل و رشد غیرطبیعی استخوان، بدن را به نقطهای میرساند که بدون مداخله جراحی، بازگشت به زندگی عادی ممکن نیست. جراحی استخوان، پاسخی تخصصی و هدفمند به این شرایط است؛ روشی که نهفقط درد را کاهش میدهد، بلکه ساختار اسکلتی را بهحالت تعادل بازمیگرداند.
در این مطلب، نگاهی خواهیم داشت به مهمترین انواع جراحی استخوان، دلایل انجام آن، روند درمان و نکاتی که بیماران پیش و پس از عمل باید بدانند.
جراحی استخوان یا ارتوپدی چیست؟
جراحی استخوان یا جراحی ارتوپدی یکی از روشهای تخصصی پزشکی است که به درمان اختلالها و آسیبهای سیستم اسکلتی عضلانی بدن میپردازد. عمل جراحی بر روی استخوانها، عضلات، مفاصل، تاندونها، رباطها، غضروف و بافتهای نرم انجام میشود.
این نوع جراحی طیف گستردهای از اختلالات را در بر میگیرد. از ترمیم شکستگی استخوان و جوش دادن استخوانها گرفته تا روشهای پیچیدهتر مانند تعویض مفصل (آرتروپلاستی)، اصلاح دفورمیتیهای اسکلتی و بازسازی بافتهای نرم مانند رباطها و تاندونها.
جراحی ارتوپدی اغلب با استفاده از فناوریهای پیشرفته مانند آرتروسکوپی (جراحی کمتهاجمی با دوربین) انجام میشوند تا دقت و اثربخشی درمان افزایش یابد.
انواع جراحی استخوان
انواع جراحیهای استخوان با هدف درمان اختلالات خاصی در سیستم اسکلتی عضلانی انجام میشوند. در ادامه، رایجترین انواع این جراحیها را معرفی میکنیم.
جراحی مفصل ران و زانو
عمل تعویض مفصل زانو شامل تعویض کامل یا بخشی از مفصل برای درمان آرتروز شدید، شکستگی یا فرسودگی مفصل است. این جراحیها به بازگرداندن تحرک و کاهش درد کمک میکنند.
جراحی دست، مچ و آرنج
برای درمان آسیبهای ناشی از ضربه، التهاب مفصل یا فشردگی اعصاب محیطی به کار میرود و خود، مجموعه وسیعی از جراحی استخوان را شامل میشود.
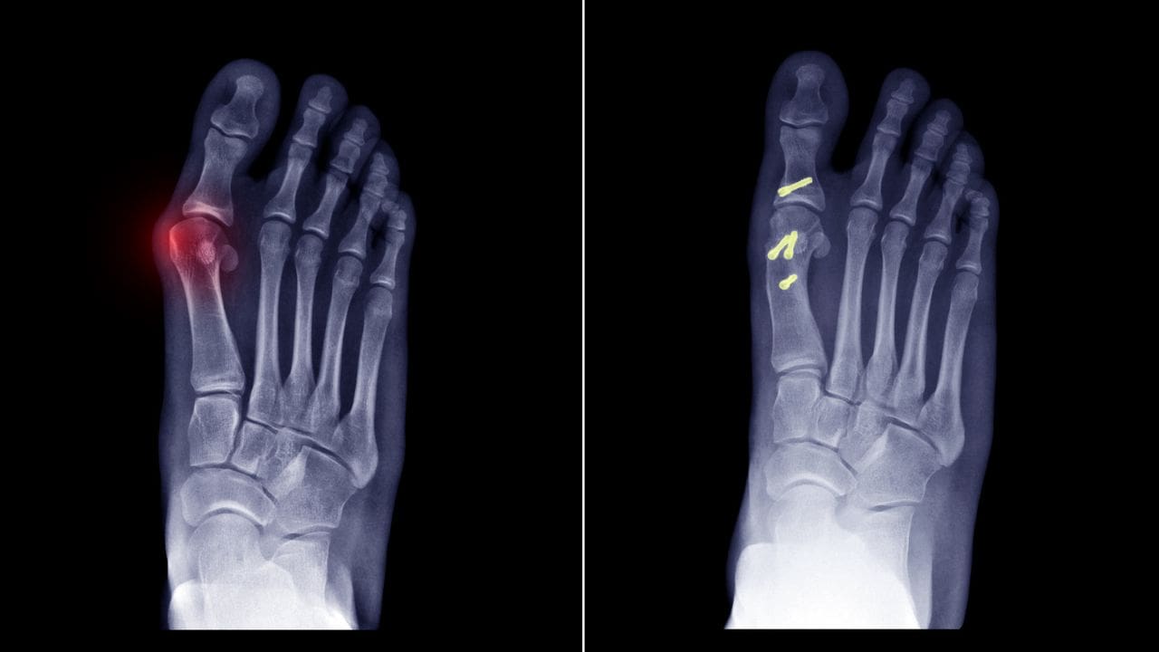
جراحی پا و مچ پا
در مواردی مانند آسیبهای ورزشی، شکستگی یا آرتروز شدید جراحی بر روی پا و مچ آن انجام میشود. در برخی اوقات گذاشتن پلاتین و پیچ کافی است، اما گاهی هم تعویض کامل مفصل ضرورت دارد.
جراحی ستون فقرات
برای درمان دیسکهای بینمهرهای، تنگی کانال نخاع، انحراف ستون فقرات یا شکستگی مهرهها کاربرد دارد.
جراحی شانه و بازو
برای ترمیم پارگی روتاتور کاف، ناپایداری شانه یا آسیبهای غضروفی انجام میشود. در موارد شدید، عمل تعویض مفصل شانه گزینهای مؤثر است.
جراحی تومورهای استخوانی (ارتوپدی انکولوژیک)
در موارد سرطان استخوان، نوع خاصی از جراحی به نام جراحی ارتوپدی انکولوژیک انجام میشود که به آن جراحی تومور استخوان نیز میگویند.
برداشتن تومورهای خوشخیم یا بدخیم استخوان با حفظ عملکرد عضو، اهمیت زیادی در بقا و سلامت بیمار دارد.
جراحی شکستگیها (ترومای ارتوپدی)
برای تثبیت، ترمیم یا بازسازی شکستگیهای ساده و پیچیده بهویژه در تصادفات و آسیبهای شدید استفاده میشود.
ارتوپدی کودکان
به اصلاح ناهنجاریهای مادرزادی یا اکتسابی اسکلتی در کودکان میپردازد و رویکرد آن متفاوت از بزرگسالان است.
جهت دریافت نوبت از دکتر صابری، با شمارههای زیر تماس بگیرید:
مجتمع پزشکی صدر: ۰۲۱۷۹۱۸۴۰۰۰
مرکز تخصصی تهران ارتوپدی: ۰۲۱۹۱۳۰۴۵۰۴
چه زمانی باید به جراح استخوان مراجعه کنیم؟
زمان مراجعه به جراح استخوان وقتی است که فرد دچار درد، محدودیت حرکت یا ناهنجاری در استخوانها، مفاصل، عضلات یا تاندونها است که با درمانهای اولیه و مراقبتهای خانگی بهبود نمییابد.
دردهای مزمن مفصلی، شکستگیهای استخوانی، دررفتگی، ساییدگی مفصل، پارگی رباط یا مشکلات مادرزادی اسکلتی از جمله مواردی هستند که نیاز به بررسی تخصصی دارند.
همچنین، در صورت بروز تورم، عفونت استخوانی، تغییر شکل اندامها یا اختلال در انجام فعالیتهای روزمره، مراجعه به جراح ارتوپد راه را برای تشخیص دقیق و درمان مؤثر هموار میکند.
آمادگی قبل از جراحی استخوان
برای داشتن نتیجهای موفق و دوران نقاهت کوتاهتر پس از جراحی، آمادگی صحیح پیش از عمل ضروری است.
در قدم اول لازم است بیماریهای مزمن مانند دیابت، فشار خون و پوکی استخوان را با مشورت پزشک کنترل کنید.
برخی داروها مانند رقیقکنندههای خون یا ضدافسردگیها باید با نظر پزشک پیش از عمل قطع یا تنظیم شوند.
تغییر سبک زندگی با تغذیه سالم، ورزش سبک و ترک سیگار نیز نقش مهمی در تقویت سیستم ایمنی دارد. آمادهسازی منزل، تهیه تجهیزات کمکی و برنامهریزی برای کمک اطرافیان در روزهای اولیه پس از عمل را فراموش نکنید.
رعایت دقیق دستورات پیش از عمل، مانند ناشتابودن یا قطع برخی داروها، از بروز عوارض جلوگیری میکند.
مراقبتهای بعد از عمل استخوان
پس از ترخیص رعایت برخی مراقبتها برای بهبود سریعتر ضروری است. توصیه میکنیم:
- دستورالعملهای پزشک درباره شستوشوی زخم را با دقت دنبال کنید.
- داروهای تجویزشده را طبق دستور مصرف کنید تا از درد و عفونت جلوگیری شود.
- تمرینات فیزیوتراپی را انجام دهید تا قدرت و تحرک بدنیتان بازیابی شود.
- در صورت نیاز از وسایل کمکی مانند واکر یا عصا استفاده کنید تا از آسیبهای احتمالی جلوگیری شود.
- در زمانهای تعیینشده برای ویزیت مجدد به پزشک مراجعه کنید.
موارد زیر را نیز تا زمان بهبودی کامل انجام ندهید:
- به ناحیه زخم فشار وارد نکنید و نحوه حرکت خود را با وضعیت جدید تطبیق دهید.
- تا زمانی که پزشک اجازه نداده است، رانندگی یا بازگشت به کار را به تعویق بیندازید.
- از انجام فعالیتهای ورزشی خودداری کنید.
- در طول دوران نقاهت جراحی استخوان سیگار نکشید، زیرا روند ترمیم زخم را کند میکند.

0 Comments