تومور شوانوما (Schwannoma tumor) چیست؟

  1. صفحه اصلی
  2. تومور استخوان
  3. تومور شوانوما (Schwannoma tumor) چیست؟

شوانوما که با عنوان شوانوم، نوریلوما یا نوروما نیز شناخته می‌شود، توموری است که در سلول‌های شوان سیستم عصبی محیطی بروز می‌کند. این سلول‌ها لایه عایق اطراف اعصاب محیطی را تشکیل می‌دهند و به هدایت تکانه‌های عصبی کمک می‌کنند.

خوشبختانه تومور شوانوما اغلب خوش‌خیم و کندرشد است. انواع مختلفی دارد و شایع‌ترین آن شوانوم دهلیزی است که در عصب گوش داخلی ایجاد و نوعی تومور مغزی محسوب می‌شود.

همچنین شوانوما می‌تواند عصب سیاتیک پا، اعصاب شبکه بازویی در بازو و گروهی از اعصاب در قسمت پایین کمر به نام شبکه ساکرال را درگیر کند.

تومور شوانوما در 90 درصد موارد سرطانی نیست. به این معنی که تنها در قالب یک توده بروز می‌کند و به مناطق دیگر گسترش پیدا نمی‌کند. با این وجود، تشخیص و درمان به موقع آن با روش‌هایی مانند پرتودرمانی و جراحی اهمیت زیادی دارد. زیرا بیشتر افراد بین 50 تا 60 سال را مبتلا می‌کند و رشد آن می‌تواند منجر به آسیب عصبی و ازدست‌دادن کنترل عضلانی شود. به‌همین‌دلیل، توصیه می‌کنیم اگر متوجه بروز هرگونه توده یا بی‌حسی غیرمعمول شدید، به پزشک مراجعه کنید.

جهت دریافت نوبت از دکتر صادق صابری، با شماره‌های زیر تماس بگیرید:

مجتمع پزشکی صدر: ۰۲۱۷۹۱۸۴۰۰۰

مرکز تخصصی تهران ارتوپدی: ۰۲۱۹۱۳۰۴۵۰۴

علائم تومور شوانوما چیست؟

تومور شوانوما می‌تواند در اعصابی ظاهر شود که حس و حرکت را در بازوها، پاها، صورت، چشم‌ها و حتی پوست ممکن می‌کنند. هنگامی‌که رشد می‌کند، به این اعصاب فشار وارد کرده و علائم مخربی ایجاد می‌کند. تومور شوانوما می‌تواند همزمان در چندین ناحیه مختلف بدن شکل بگیرد. از این رو، برخی از بیماران ممکن است علائم کمتر یا بیشتری نسبت به بقیه داشته باشند.

البته ازآنجایی‌که به کندی رشد می‌کند، تا سالها ممکن است متوجه علائمی مانند موارد زیر نشوید:

  • یک توده قابل مشاهده در زیر پوست ناحیه آسیب‌دیده که وقتی به آن فشار وارد می‌کنید، درد می‌گیرد. معمولاْ این نشانه در شوانوم شکم بارزتر است.
  • سوزن‌سوزن شدن، گزگز، بی‌حسی، ضعف یا از دست دادن عملکرد بازوها و پاها (در اثر شوانوم عصب دست و پا)
  • سرگیجه، کاهش شنوایی یا از دست دادن تعادل (در اثر شوانوم دهلیزی)
  • مشکل در بلع، حرکت چشم و حس چشایی یا حتی فلج صورت (در اثر شوانوما عصب صورت و گردن)
  • مشکلات ستون فقرات مانند کمردرد، فلج‌شدگی یا اختلال در عملکرد روده و مثانه (در اثر رشد تومور روی یک ریشه عصبی در طناب نخاعی)، مانند دردی که از کمر به پایین ساق پا در اثر شوانوما عصب سیاتیک کمر منتشر می‌شود.

دلایل بروز تومور شوانوم چیست؟

معمولاْ به طور تصادفی در افراد سالم ایجاد می‌شود. در برخی موارد، ناشی از ابتلا به یک بیماری ژنتیکی مانند نوروفیبروماتوز 2 (NF2)، شوانوماتوز یا سندرم کارنی است.

مطالعات نشان می‌دهند که وجود ژن NF2 روی کروموزوم 22، نقش اساسی در ایجاد تومور شوانوما دارد.

همچنین مشخص شده است که افراد با سابقه پرتودرمانی، بیشتر در معرض خطر بروز تومورهای اعصاب محیطی مانند شوانوم هستند.

چه زمانی باید به پزشک مراجعه کرد؟

اگر متوجه وجود هر یک از علائم ذکرشده شدید، فوراً به پزشک مراجعه کنید. زیرا این بیماری می‌تواند با گذشت زمان تهاجمی شده و به سارکوم بافت نرم یا تومور بدخیم غلاف عصبی تبدیل شود.

دکتر صادق صابری به‌عنوان جراح و پزشک فوق تخصص تومورهای ارتوپدی، یکی از بهترین‌ها برای تشخیص و درمان تومور شوانوما هستند. پیشنهاد می‌کنیم از تجربه بالای ایشان استفاده کنید.

تومور شوانوما چقدر خطرناک است؟

طبق مطالعات انجام‌شده، تومور شوانوم در 10% موارد بدخیم، سرطانی و خطرناک است. در 90% بیماران، خوش‌خیم است و در صورت نیاز به کمک جراحی برداشته می‌شود.

جراحی تومور استخوانی

روش‌های تشخیص تومور شوانوما

برای تشخیص، پزشک ابتدا سوالاتی در مورد علائم و سابقه پزشکی و خانوادگی شما می‌پرسد. سپس یک معاینه فیزیکی و عصبی انجام می‌دهد. در نهایت اگر به وضعیت شما مشکوک شود، انجام یک یا چند مورد از تست‌های تشخیصی زیر را توصیه می‌کند.

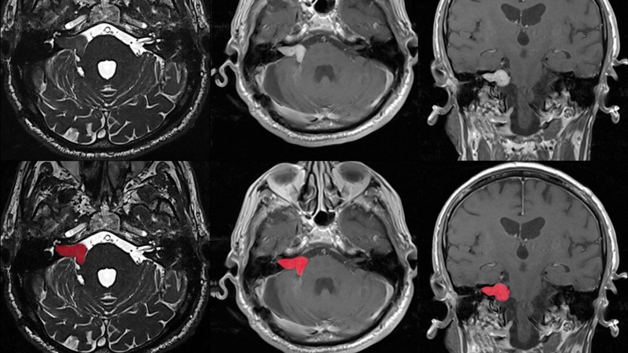
ام آر آی

در این روش از یک آهنربا قوی و امواج رادیویی، برای ایجاد نمایی دقیق و سه‌بعدی از اعصاب محیطی و بافت‌های اطراف آن‌ها استفاده می‌شود.

سی تی اسکن

در این روش به کمک اشعه ایکس، می‌توان تصاویر مقطعی از اعصاب محیطی بدست آورد.

الکترومیوگرافی یا نوار عصب و عضله

برای انجام این آزمایش، پزشک سوزن‌های کوچکی را در عضلات قرار می‌دهد. سپس دستگاه الکترومیوگرافی فعالیت الکتریکی عضلات را هنگام تلاش برای حرکت دادن آنها ثبت می‌کند.

بیوپسی (نمونه‌برداری) از تومور

اگر آزمایش‌ تصویربرداری وجود تومور عصبی را تایید کند، پزشک ممکن است در مرحله بعد به کمک بیوپسی نمونه کوچکی از سلول‌های تومور را خارج کرده و آنالیز کند.

معمولاً بسته به اندازه و محل تومور، قبل از بیوپسی به بیهوشی موضعی یا عمومی نیاز است.

بیوپسی از عصب

پزشک ممکن است برای رد شرایطی مانند نوروپاتی محیطی پیشرونده یا التهاب اعصاب، نمونه‌برداری از عصب را نیز انجام دهد.

روش‌های درمان تومور شوانوما

نحوه درمان تومور شوانوما بستگی به این دارد که تومور در کجای بدن قرار دارد، با چه سرعتی رشد می‌کند و آیا باعث بروز درد می‌شود یا خیر.

معمولاً اگر تومور خوش‌خیم باشد، بسیار آهسته رشد کند و علائمی ایجاد نکند یا علائم آن خیلی خفیف باشند. پزشک به‌جای درمان، نظارت دقیق بر آن را توصیه می‌کند. در نهایت اگر تومور با گذشت زمان بزرگ‌تر شود یا مشکلاتی ایجاد کند، درمان‌های پزشکی زیر انجام می‌شوند.

جراحی تومور شوانوما

جراحی تومور شوانوما شکم، بازوها، پاها و غیره با هدف برداشتن کامل تومور و تحت بیهوشی عمومی انجام می‌شود. خوشبختانه چون این نوع تومور در غلاف احاطه‌کننده عصب ایجاد می‌شود، جراحی آن اغلب باعث آسیب به عصب نمی‌شود. با این حال، جراحی شوانوم دهلیزی با خطر کاهش شنوایی همراه است.

برخی از بیماران می‌توانند چند ساعت پس از جراحی به خانه بروند. اما برخی دیگر ممکن است نیاز داشته باشند یک یا دو روز در بیمارستان بستری شوند.

پرتودرمانی

اصولا پرتودرمانی از تابش پرتوهای متمرکز و قوی برای کمک به کنترل رشد تومور و بهبود علائم استفاده می‌کند. اگر تومور در نزدیکی عروق یا اعصاب حیاتی قرار داشته باشد، ممکن است پزشک برای کاهش احتمال آسیب به بافت سالم، به‌جای جراحی انجام پرتودرمانی استریوتاکتیک را توصیه کند. با این روش جراح بدون ایجاد برش، پرتوهای قوی را دقیقا به تومور می‌رساند.

0 Comments

Submit a Comment

نشانی ایمیل شما منتشر نخواهد شد. بخش‌های موردنیاز علامت‌گذاری شده‌اند *