تومور کوردوما نوع نادری از سرطان استخوان با رشد آهسته است که اغلب در استخوانهای ستون فقرات و جمجمه بروز میکند. معمولاْ تومورهای آن در نزدیکی استخوان دنبالچه یا جاییکه ستون فقرات به جمجمه میرسد (قاعده جمجمه) دیده میشوند.
تومور استخوانی کوردوما در سلولهایی بروز میکند که زمانی مجموعهای از سلولهای جنینی در حال رشد برای تبدیل شدن به ستون فقرات بودهاند. به این سلولها نوتوکورد میگویند. بیشتر این سلولها در زمان تولد یا بلافاصله پس از آن از بین میروند. اما گاهی تعداد کمی از آنها باقی میمانند و ممکن است در آینده به تومور بدخیم (سرطانی) تبدیل شوند.
تومور کوردوما در چه سنینی پدید میآید؟
اگرچه ممکن است این بیماری در هر سنی رخ دهد، اما اغلب در افراد 40 تا 60 ساله تشخیص داده میشود. تومور استخوانی کوردوما در اطراف قاعده جمجمه بیشتر در جوانان رخ میدهد. درحالیکه خطر بروز تومور ستون فقرات در اواخر زندگی بیشتر است.
همچنین احتمال بروز آن در زنان حدود دو برابر مردان است.
طبق آمار، تومور کوردوما در 50% از بیماران در پایه ستون فقرات یا همان استخوان خاجی (ساکروم) دیده میشود. در 30% از بیماران در جاییکه ستون فقرات به جمجمه میرسد، به عنوان تومور قاعده جمجمه ایجاد میشود. در باقی بیماران در مهرههای ستون فقرات، بهخصوص مهرههای گردنی و کمری بروز میکند.
علائم تومور استخوانی کوردوما چیست؟
معمولاً علائم بسته به جاییکه تومور در امتداد ستون فقرات قرار دارد، در هر بیمار متفاوت هستند. اگر تومور در قاعده جمجمه بروز کند، بیمار درگیر علائم زیر نیز میشود:
- دوبینی یا تاری دید
- سردرد
- ضعف یا درد در بازوها
- بیحسی یا درد در نواحی از صورت
اما اگر تومور در دنبالچه بروز کند، بیمار متوجه علائم زیر میشود:
- ضعف یا بیحسی در کمر یا پاها
- وجود یک توده در زیر پوست کمر
- مشکلات مربوط به عملکرد مثانه یا روده
- درد کمر یا دنبالچه
چه زمانی باید به پزشک مراجعه کرد؟
توصیه میکنیم به محض مواجهه با علائم این بیماری، برای تشخیص قطعی به پزشک مراجعه کنید. همچنین ازآنجاییکه اغلب پس از گذشت چندین سال از روند درمان، عود میکند؛ نیاز به پیگیری طولانیمدت دارد. پس ارتباط خود را با پزشک قطع نکنید.
خوشبختانه دکتر صادق صابری بهعنوان پزشک متخصص ارتوپد و جراح تومورهای استخوانی، تبحر زیادی در این زمینه دارند. میتوانید با خیال راحت برای تشخیص و جراحی تومور کوردوما نیز به ایشان مراجعه کنید.
جهت دریافت نوبت از دکتر صادق صابری، با شمارههای زیر تماس بگیرید:
مجتمع پزشکی صدر: ۰۲۱۷۹۱۸۴۰۰۰
مرکز تخصصی تهران ارتوپدی: ۰۲۱۹۱۳۰۴۵۰۴
انواع تومور کوردوما
سازمان بهداشت جهانی براساس شکل ظاهری سلولهای سرطانی کوردوما در زیر میکروسکوپ، 3 نوع مختلف از آن را درنظر گرفته است.
1. کوردوما کلاسیک یا معمولی
شایعترین نوع تومور کوردوما است که از تکثیر یک سلول منحصربهفرد و حبابیشکل و اغلب در قاعده جمجمه شکل میگیرد.
2. کوردوما تمایزنیافته
این نوع نادر به نسبت، تهاجمیتر و با قدرت رشد سریعتر و احتمال متاستاز بیشتر از بقیه تومورها است.
3. کوردوما با قدرت تمایز ضعیف
بسیار نادر است و کودکان و جوانان را تحت تاثیر قرار میدهد.
دلایل بروز تومور استخوانی کوردوما
اگرچه محققان دقیقا نمیدانند که چرا تومور استخوانی کوردوما بروز میکند، اما احتمال میدهند که ناشی از جهش در ژن TBXT است. زیرا این جهش میتواند زمینه تکثیر بیشازحد و غیرطبیعی سلولهای نوتوکورد را فراهم کند.
اخیراً مشخص شده است که برخی از بیماران، سابقه خانوادگی ابتلا به آن را دارند. همچنین افراد مبتلا به یک بیماری ژنتیکی به نام توبروس اسکلروزیس، در معرض خطر بیشتری برای ابتلا به کوردوما هستند.
درصد زنده ماندن بیماران مبتلا به تومور کوردوما چقدر است؟
لازم است بدانید که این نوع تومور استخوان، میتواند بهدلیل تخریب بافت نخاع، مغز یا ساقه مغز کشنده باشد. یک مطالعه بر روی 357 فرد مبتلا به آن، نشان داده است که اگر میزان بقا بعد از گذشت 3 سال در حد 80.5% باشد، بعد از گذشت 5 و 10 سال به ترتیب به 68.4% و 39.2% میرسد. پس نباید روند تشخیص و درمان را به تعویق انداخت!
روشهای تشخیص تومور کوردوما چیست؟
برای تشخیص این نوع سرطان استخوان، معمولاً پزشک علاوهبر معاینه و بررسی سابقه سلامتی و خانوادگی بیمار به سراغ نتایج آزمایشهای زیر نیز میرود.
آزمایشهای تصویربرداری
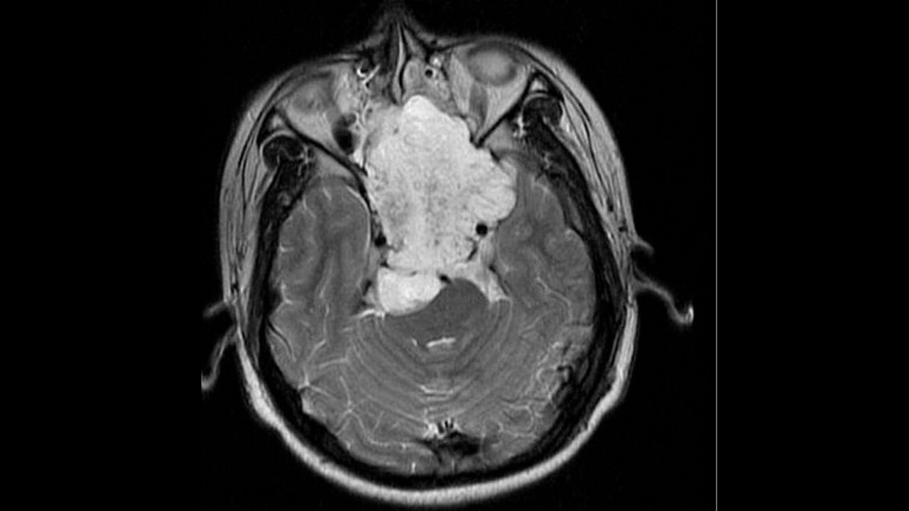
پزشک برای کمک به تشخیص محل و سایز تومور و تعیین اینکه آیا به خارج از ستون فقرات یا قاعده جمجمه گسترش یافته است یا خیر؛ نیاز به مشاهده تصاویر ام آر آی یا سی تی اسکن دارد.
بیوپسی یا نمونهبرداری از تومور
بهترین راهیکه پزشک میتواند به طور قطعی تومور کوردوما را تشخیص دهد، بیوپسی یا نمونهبرداری است. زیرا در این روش، به کمک یک سوزن ظریف نمونهای از تومور برداشته میشود. سپس این نمونه توسط پاتولوژیست زیر میکروسکوپ بررسی میشود تا مشخص شود که آیا سلولهای سرطانی وجود دارند یا خیر.
پس از تشخیص، پزشک به کمک مشورت با سایر متخصصان یک برنامه درمانی متناسب با نیازهای بیمار تعیین خواهد کرد.
روشهای درمان تومور کوردوما
معمولاً تومور کوردوما در حدود 30 تا 40 درصد از بیماران، عود میکند و به سایر قسمتهای بدن مانند ریه و کبد گسترش مییابد. بسته به اندازه و محل تومور و میزان آسیب آن به اعصاب یا سایر بافتها، پزشک از روشهایی مانند موارد زیر برای درمان استفاده میکند.
عمل جراحی
عمل جراحی بهعنوان خط اول روند درمان محسوب میشود.
اگرچه بهترین گزینه برای درمان این نوع سرطان، جراحی است؛ اما جراحی قاعده جمجمه همیشه امکانپذیر نیست. بهخصوص اگر تومور در نزدیکی ساختارهای مهمی مانند شریان کاروتید و نخاع باشد. معمولاً در این شرایط، پزشک بهعنوان راهکار جایگزین از پرتودرمانی استفاده میکند.
همچنین اگر تومور در ستون فقرات به نخاع و اعصاب و شریانهای آن حمله کند، احتمال آسیب دیدن آنها در طول جراحی وجود دارد. از این رو، عمل باید با دقت زیادی و به کمک روشهایی مانند آندوسکوپی یا میکروسرجری انجام شود.
پرتودرمانی
این روش اغلب پس از جراحی توصیه میشود تا سلولهای سرطانی باقیمانده را از بین ببرد.
خوشبختانه تکنیکهای جدید پرتو درمانی مانند پروتوندرمانی و رادیوسرجری استریوتاکتیک، کمک زیادی به پزشکان برای درمان تومور کوردوما کردهاند. زیرا میتوانند با وجود آنها با دقت عمل بیشتری پیش بروند و از دوزهای بالاتر پرتوها برای تاثیرگذاری بیشتر استفاده کنند.

0 Comments