انکندروما چیست؟ علائم، علت، تشخیص و درمان

  1. صفحه اصلی
  2. تومور استخوان
  3. انکندروما چیست؟ علائم، علت، تشخیص و درمان

برخی اختلالات اسکلتی عضلانی، اگرچه در ظاهر بی‌خطر به نظر می‌رسند، می‌توانند پیامدهایی جدی برای سلامت فرد به‌دنبال داشته باشند. انکندروم یا انکندروما (enchondroma) یکی از این موارد است. این تومور خوش‌خیم اغلب بدون علامت خاصی رشد می‌کند و ممکن است تا مدت‌ها تشخیص داده نشود.

اهمیت تشخیص این تومور زمانی پررنگ‌تر می‌شود که بدانیم ممکن است با سایر ضایعات استخوانی اشتباه گرفته شود یا در برخی موارد زمینه‌ساز مشکلاتی جدی‌تر باشد.

انکندروما چیست؟

انکندروما نوعی تومور خوش‌خیم استخوانی است که از بافت غضروفی داخل استخوان‌ها منشأ می‌گیرد. این تومور معمولاً بدون درد و علامت رشد می‌کند و اغلب به‌صورت تصادفی در تصویربرداری‌های پزشکی پیدا می‌شود.

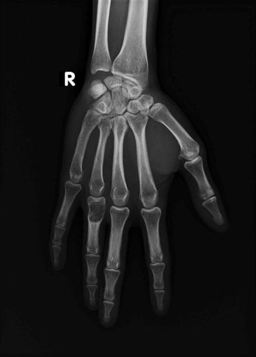
انکندروم رایج‌ترین تومور دست محسوب می‌شود و بیشتر، استخوان‌های کوچک را درگیر می‌کند. در موارد نادر ممکن است در استخوان ران، بازو یا ساق نیز دیده شود.

این تومور استخوان بیشتر در سنین ۱۰ تا ۲۰ سالگی دیده می‌شود و میان زنان و مردان شیوع یکسانی دارد.

بیماری‌های مرتبط با انکندروم

انکندروما ممکن است به‌صورت منفرد یا چندگانه بروز کند. بروز چندگانه آن گاهی با بیماری‌هایی مانند بیماری اولیر (Ollier disease) یا سندروم مافوچی (Maffucci’s syndrome) همراه است.

  • بیماری اولیر: این مشکل با تشکیل چند انکندروما در استخوان‌های مختلف بدن شناخته می‌شود. استخوان‌های مبتلا معمولاً دچار تغییر شکل، کوتاهی یا ضعف ساختاری می‌شوند.
  • سندرم مافوچی: در این سندروم نادر، علاوه‌بر انکندروماهای متعدد، تومورهای خوش‌خیم عروقی به نام آنژیوما نیز در بافت نرم دیده می‌شوند.
    جراحی تومور استخوانی

    علت بروز تومور انکندروما چیست؟

    علت دقیق بروز انکندروم هنوز به‌طور قطعی مشخص نیست.

    با این‌حال، برخی پژوهش‌ها نشان می‌دهند که این تومور ممکن است در نتیجه تبدیل غیرطبیعی سلول‌ها به غضروف، به‌جای استخوان، ایجاد شود.

    این اختلال معمولاً در دوره رشد استخوان‌ها اتفاق می‌افتد و ممکن است با رشد بیش‌ازحد غضروف در انتهای استخوان‌ها یا باقی‌ماندن بافت غضروفی جنینی مرتبط باشد.

    برخلاف برخی تومورها، انکندروما با قرارگرفتن در معرض مواد شیمیایی یا اشعه ارتباطی ندارد و معمولاً زمینه ژنتیکی یا ساختاری دارد، به‌ویژه در افرادی که دچار بیماری‌هایی مثل سندروم مافوچی یا اولیر هستند.

    علائم انکندروما چیست؟

    همان‌طورکه گفتیم، در اغلب موارد تومور انکندروما بدون علامت است و فرد متوجه وجود آن نمی‌شود. با این‌حال، اگر تومور در استخوان‌های کوچک دست یا پا شکل بگیرد یا چندین تومور به‌طور هم‌زمان وجود داشته باشد، ممکن است موجب تضعیف استخوان، تغییر شکل انگشتان یا حتی شکستگی‌های پاتولوژیک شود.

    گاهی رشد کند استخوان در ناحیه درگیر نیز دیده می‌شود.

    بیماران مبتلا به سندروم‌های همراه ممکن است دچار بدشکلی‌های شدید استخوانی شوند. در هر صورت، تشخیص دقیق منشا درد اهمیت زیادی دارد.

    جهت دریافت نوبت از دکتر صابری، با شماره‌های زیر تماس بگیرید:

    مجتمع پزشکی صدر: ۰۲۱۷۹۱۸۴۰۰۰

    مرکز تخصصی تهران ارتوپدی: ۰۲۱۹۱۳۰۴۵۰۴

    تشخیص انکندروما

    انکندروما اغلب به‌صورت تصادفی، در حین انجام تصویربرداری برای آسیب‌دیدگی یا بیماری‌های دیگر مانند آرتروز، تشخیص داده می‌شود.

    برای اطمینان از خوش‌خیم‌بودن تومور، پزشک ابتدا شرح‌ حال دقیق و معاینه فیزیکی انجام می‌دهد و سپس از روش‌هایی مانند رادیوگرافی، سی ‌تی ‌اسکن یا MRI کمک می‌گیرد.

    در رادیوگرافی، تومور معمولاً به‌صورت توده‌ای لوب‌دار با نقاط سفید نمایان می‌شود. در موارد خاص، اسکن استخوان یا نمونه‌برداری (بیوپسی) نیز ممکن است انجام شود تا تومورهای تهاجمی یا بدخیم افتراق داده شوند.

    درمان انکندروما

    درصورتی‌که انکندروما بدون علامت باشد و رشد یا ضعف استخوانی در پی نداشته باشد، معمولاً نیازی به درمان فعال نیست و تنها با تصویربرداری دوره‌ای تحت نظر قرار می‌گیرد. اما اگر تومور باعث درد، شکستگی یا بدشکلی استخوان شود، درمان جراحی توصیه می‌شود.

    رایج‌ترین روش جراحی، کورتاژ یا تراشیدن تومور از درون استخوان است. پس از خارج‌سازی، حفره خالی ممکن است با پیوند استخوان پر شود.

    در مواردی که توده مشکوک به بدخیمی باشد، جراحی گسترده‌تری برای برداشت کامل آن لازم است. این عارضه به‌ندرت به پرتودرمانی یا شیمی‌درمانی نیاز دارد.

    0 Comments

    Submit a Comment

    نشانی ایمیل شما منتشر نخواهد شد. بخش‌های موردنیاز علامت‌گذاری شده‌اند *